Záchovná stomatologie
Základní obor zubního lékařství zabývající se léčbou zubního kazu, jeho komplikacemi a úrazy postihujících zub a přilehlé zubní tkáně se nazývá záchovná stomatologie. Taktéž se zabývá léčbou zubních kanálků, oborem zvaným endodoncie.
Nejlepší terapií je ovšem prevence, při níž se snažíme zub před poškozením chránit pomocí nejnovější technologie a nových vědeckých poznatků. Pravidelné preventivní prohlídky a vyšetření diagnostickým přístrojem SoproLife intraorální a panoramatické digitální snímkování umožňují detekovat kaz v jeho časných stádiích, kdy je možno jej ošetřit náhradním výplňovým materiálem.
Ve Stomatologickém Centru spolu s klientem celou léčbu detailně a srozumitelně rozebíráme, pak naplánujeme nejvhodnější způsob ošetření. Zvážíme všechny výhody a rizika používaných materiálů - od klasického tmavého amalgámu až po vysoce estetické celokeramické inlaye. Lékař navrhne individuální plán léčby. Souhlasí-li informovaný klient s tímto plánem, přistupujeme k bezbolestnému ošetření.
V situaci, kdy zubní kaz zasáhne a infikuje nervový a cévní systém v dřeňové dutině zubu je nutno přistoupit k endodontickému ošetření kořenového systému. I v tomto oboru Stomatologické Centrum drží krok s nejnovějšími trendy. Kombinací strojového opracování kořenového kanálku, dvojí kontroly jeho skutečné délky pomocí rentgenu a apex lokátoru, plněním pomocí horké gutaperči, se tato terapie zkrátila přibližně na třetinu času než při běžném postupu ošetření.
Výhodou tohoto postupu je nejen menší časová náročnost, ale i větší preciznost provedení ošetření a minimální riziko vzniku periodontitidy - zánětu postihujícího kost v okolí vrcholu kořene zubu. Takto ošetřený zub se stává křehkým a proto je nutno jej vždy ošetřit vhodnou protetickou náhradou, což je nejčastěji korunka.
Lékař ve Stomatologickém Centru pro zhotovení korunky pomocí technologie CAD/CAM - CEREC potřebuje nejvýše jednu hodinu.

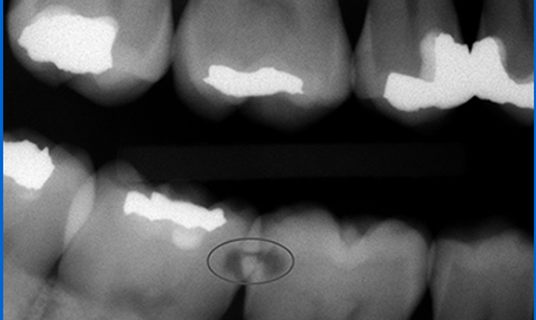
Počínající kaz
Pomocí intraorálního rentgenu byl lékařem zjištěn počínající kaz, který nebolí. Necháme-li kaz růst až do fáze, kdy začne zub bolet, bude nutno přeléčit kořenový systém zubu - endodoncie.

Sekundární kaz po výplni
Naše centrum uplatňuje individuální péči, při které lékař pomocí nákresu, obrázků a RTG snímků klientovi vše názorně a srozumitelně vysvětlí. Děláme vše proto, aby náš klient porozuměl problematice péče o ústní dutinu a mohl se rozhodnout, jak se svým orálním zdravím naloží.
